Miért minket válasszon?
13 fogorvos és saját fogtechnika egy helyen!
98% sikerreségi ráta!
Több mint 10.000 beültetett implantátum!
Versenyképes árak!
Német és svájci rendszerek!
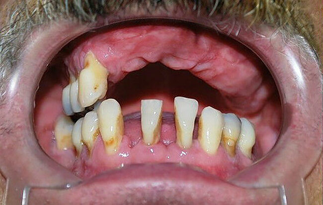
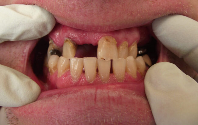
Ahol megoldhatatlannak tűnik egy eset, számunkra ott kezdődik a fogászat!
A páciens súlyos fogászati problémával rendelkezett, ami miatt az összes fogát el kellett távolítsuk. Az alsó állcsontban rendelkezett megfelelő csontmennyiséggel, de a felsőnél korlátoltak voltak a lehetőségek. Nálunk olyan megoldást talált, amivel pár napon belül fixen rögzített fogak kerültek a szájába, a húzást követően azonnal implantáltuk, a csontminőségnek megfelelő rendszerek használatával elkerültük a kivehető műfogsor viselését és a csontpótlást is!
Hétfő
30 húzás
12 implantátum
Ragyogó mosoly!
Péntek
Kérjen időpontot!
Hívja a +36/20 231-1353 számot!
Milyen előnnyel jár ez a fajta implantátum rendszer?
Gyors és tartós megoldás, amely nem igényel csontpótlást vagy sinus liftet!
Fájdalommentes kezelés akár éber akár mélyaltatásban!
A stratégiai implantátumok hosszú távú beültetési eredményessége 98,2%
Hosszú távú megoldás
Kevésbé invazív eljárás mint a hagyományos implantáció
Rögzített, fix fogpótlás, hogy elkerülje a műfogsor viselésével járó kellemetlenségeket
A páciensek közel 99%-nál azonnal beültethető!
Kapja vissza magabiztos mosolyát!
Hogyan kaphatja a legmegfelelőbb megoldást?
Azonnal terhelhető implantátumok
- Általában teljes pótlás esetén
- Akár 2-3 nap munkanapon belül kész
- Altatásban
- Fájdalommentesen!
Hagyományos, kétfázisú implantátumok
- Kevés fog hiánya esetén
- Nagy biztonsággal használható
- A beültetés kész akár egy órán belül


